Blog

6 December 2023

5th TRP: Targeted Radiopharmaceuticals Summit in Berlin

Read more

29 November 2023

How does F-18 concentrate in bones?

Read more

10 August 2023

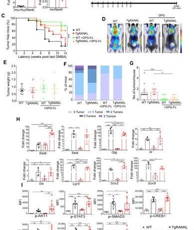
Happy to see a great collaboration and project, having fruitful results just published in Cancers MDPI.

Read more

25 July 2023

On the way to Boston for the Targeted Radiopharmaceuticals Summit-US.

Read more

13 June 2023

BIOEMTECH Laboratories are officially GLP accredited!

Read more

18 May 2023

Eliza Lambidis, Ph.D. will represent BIOEMTECH in the 25th iSRS in Honoloulou

Read more

12 May 2023

What if you could combine a full week of educational talks on preclinical research and hands- n training, with hiking, open-air yoga and leadership sessions on managing a lab team?

Read more

9 May 2023

1st Central-East European LAS Congress

Read more

5 May 2023

Copper-67 has just landed at BIOEMTECH Laboratories

Read more

19 April 2023

Greetings from International Atomic Energy Agency (IAEA) and ISTR23

Read more

5 April 2023

New 68Ge/68Ga generator in BIOEMTECH laboratories

Read more

29 March 2023

Our latest publication on “Novel in vivo micro-CT Imaging Techniques for Assessing the Progression of Non-Alcoholic Fatty Liver Disease” is now available online.

Read more

6 March 2023

Lovely SPECT/CT images from BIOEMTECH laboratories.

Read more

23 February 2023

Happy to get our preclinical CRO services expanding.

Read more

12 February 2023

BIOEMTECH participated at Innovent Forum between 10 and 11 February weekend in Larissa as an exhibitor

Read more

16 January 2023

Welcome back SopHia!!!

Read more