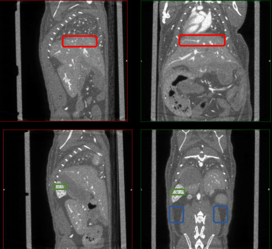
Our latest publication on “Novel in vivo micro-CT Imaging Techniques for Assessing the Progression of Non-Alcoholic Fatty Liver Disease” is now available online.

A rewarding collaboration with Antonios Chatzigeorgiou, Anna Hadjihambi and Rallia Velliou. Whenever setting up a new procedure at BIOEMTECH Labs, we always consult JoVE as a gold-standard basis of precise workflows, so it is of great honor and pleasure to have our own protocol under their list of standardized procedures. Also, using non-invasive in vivo imaging techniques to evaluate the progression or the therapy efficiency over a pathology, is one of greatest strengths of preclinical research and always intriguing to evaluate and establish into an actual preclinical platform.

You can read the publication here: https://lnkd.in/dAg7nP2x