Happy to see a great collaboration and project, having fruitful results just published in Cancers MDPI.

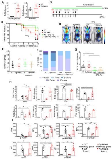
BreastCaRANKL has been a 4-year project, aiming at the development of an innovative model of RANKL-induced breastcancer and the establishment of a preclinical platform for drug evaluation. Moreover, it has been the meeting point for a great internal collaboration, with one of BIOEMTECH’s Project Directors, Lydia Ntari, PhD. Many points appreciated on this project, coming to a nice ending!

Read the full article here: https://lnkd.in/dSrp9b2b

@MDPIOpenAccess
Biomedcode Hellas S.A. – Priming Drugs for success
Eleni Douni
Anthi Kolokotroni
Leonidas Alexopoulos